ソホロと最先端再生医療
サラヤは創業以来、常に安全性の成分にこだわり、人と地球にやさしい製品を開発してきました。
その中で、よりすぐれた安全素材、培ったノウハウや技術を活かし、人の細胞や臓器にまでやさしい新素材開発を行い、再生医療分野の応用研究を進めています。
サラヤは大阪大学・産学連携「クロスイノベーション イニシアティブ」に参画しています。
また、再生医療展開において、大阪大学 大学院医学系研究科の澤 芳樹 教授(心臓血管外科)および宮川繁 特任教授(最先端再生医療学共同研究講座)とともに、心筋細胞シート作成時に用いるiPS由来心筋細胞の細胞保存液に関する共同研究を行っています。
再生医療研究について
再生医療とは、病気やけがで失われた器官や機能を、人体が持つ細胞や再生能力を利用して治療する医療のことです。医療機器や医薬品に頼ることなく、失われた体の一部や機能そのものが回復するため、既存の医薬品では治療が難しいものや、治療法が確立されていない疾病に対して、新たな治療法となる可能性があります。
2014年11月に施行された「医薬品・医療機器等の品質、有効性及び安全性の確保等に関する法律」では、医薬品や医療機器とは別に「再生医療等製品」を新たに定義し、基礎研究から臨床段階まで一貫した研究開発助成を行うなど、国としても再生医療の実用化を推進する取組みを実施しています。
再生医療研究のイメージ図
サラヤは、安心・安全な新素材研究を活かし、再生医療の発展および実用化に貢献します。
そして、患者様が安心して再生医療を受けることができる世界を実現していきます。
天然成分「ソホロ」の可能性
自然派商品の開発で培った安心・安全な素材研究として、天然成分「ソホロ」があります。植物油(パーム油)と糖を栄養にして、天然酵母が発酵することによって生み出したバイオサーファクタント(天然の界面活性剤)で、細胞毒性が低く、高い洗浄力、氷晶抑制効果などを示すことから、再生医療への応用展開を試みています。
現在、大阪大学医学部とともに「ソホロ」を使用した細胞保存液(SOFORO Cryo®)、脱細胞化液の共同研究を行い、実用化に向けた取り組みを行っています。
ソホロの氷晶抑制効果
走査型プローブ顕微鏡(AFM5000/AFM5300、日立ハイテクサイエンス)の冷却ステージにて試験試料を凍結させ、光学顕微鏡で視察しました。
※本試験は、大阪大学ナノテクノロジー設備共用拠点の支援で実施しました。
細胞を保存する際に生じる氷晶は細胞にダメージを与えるため、細胞保存液は氷晶を防ぐものが望ましいとされています。
ソホロは一般的に使われている細胞保存成分であるDMSOと比較して氷晶形成を抑制する傾向が見られました。
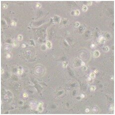
SOFORO Cryo®の細胞保存効果
ヒト間葉系幹細胞(human Mesenchymal Stem Cells、LONZA製)に細胞保存液を添加したのち、凍結保存した。
融解後、細胞保存液を除去せずに培養した場合にSOFORO Cryo®は10%DMSOに比べて未凍結に近い形態を維持し、細胞への影響が少ないことがわかりました。
未凍結の状態と比べると細胞影響有り
未凍結に近い形状を維持細胞影響が少ない
学会発表
1.「低毒性の糖脂質型界面活性剤を用いた凍結保護剤の再生医療への応用 第16回日本再生医療学会総会 2017」
大河原弘達1,2)、野上明日香3)、石井七瀬3)、龍見宗樹3)、齋藤充弘1,2)、竜 瑞之3)、平田善彦3)、宮川繁2)、澤芳樹2)
(1)大阪大学医学部附属病院 未来医療開発部
(2)大阪大学大学院医学研究科 心臓血管外科
(3)サラヤ(株)バイオケミカル研究所
2.「ソホロースリピッドの細胞凍結保存液としての利用可能性 第69回日本生物工学会大会 2017」
野上明日香1)、龍見宗樹1)、大河原弘達2,3)、齋藤充弘2,3)、竜瑞之1)、平田善彦1)、宮川繁3)、澤芳樹3)
(1)サラヤ (株)バイオケミカル研究所
(2)大阪大学医学部附属病院 未来医療開発部
(3)大阪大学大学院 医学系研究科
3.「ソホロースリピッドの細胞凍結保存液としての利用可能性 第17回再生医療学会総会 2018」
野上明日香1)、龍見宗樹1)、大河原弘達2,3)、齋藤充弘2,3)、竜瑞之1)、平田善彦1)、宮川繁3)、澤芳樹3)
(1)サラヤ (株)バイオケミカル研究所
(2)大阪大学医学部附属病院 未来医療開発部
(3)大阪大学大学院 医学系研究科
